首頁 >> 最新消息
[2025/10/23] 假牙異物嗆傷導致阻塞性肺炎 |
|
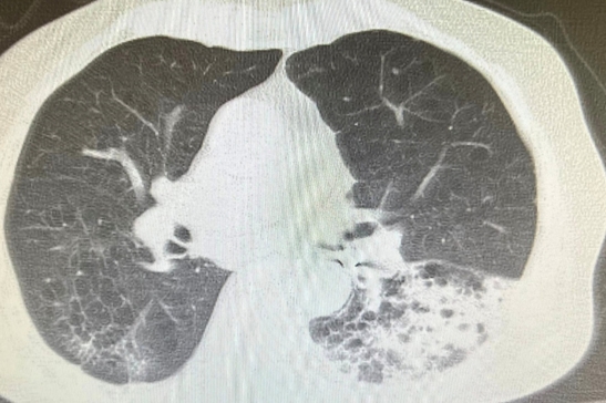
老人應該預防跌倒與嗆到才能延長壽命。 年紀大吞嚥困難常嗆到而不敢吃,產生營養不良。老是嗆入而產生吸入性肺炎而老是要住院治療,以前為了延長壽命減少嗆而接受插鼻胃管進食。但是現在為人性尊嚴與享受美食反對插鼻胃管,所以吸入性肺炎或意外嗆到而死案例增加。年紀大吃東西要小心 常常噎到甚至嗆進呼吸道。因為喉部肌肉萎縮與神經反射遲緩,食道蠕動較差所以導致吞嚥困難且易嗆進呼吸道(大的異物如假牙、骨頭等)而嚴重卡在在大氣管導致猝死。若中小異物卡在支氣管會產生塌陷與阻塞性肺炎,若睡覺口水嗆到至肺泡產生局部發炎,若是多次嗆至肺泡多次發炎產生肺纖維化。 吃東西假牙掉入左下肺支氣管產生阻塞性肺炎案例分享;九十五歲男性有抽煙史產生慢性阻塞性肺病病史且有攝護腺癌病史。最近因吃東西嗆到產生劇烈咳嗽與呼吸困難,且發現假牙不見了來院求診:胸部低劑量電腦斷層顧示右下肺有異物與阻塞牲肺炎(見圖)。緊急支氣管鏡檢並移出此異物。
|




